Мы позаботимся о здоровье Ваших зубов в нашей клинике в Дортмундe - как снаружи, так и внутри
То, что мы показываем, когда улыбаемся - лишь "верхушка айсберга". Внутренней части зуба, которую мы не видим, посвящена эндодонтия, так называемая «анатомия зуба».
Что такое эндодонтия?
Слово эндодонтия происходит из греческого языка и обозначает раздел стоматологии, изучающий внутреннее строение зуба.
Внутренности зуба?
Под эмалевой оболочкой (кстати, являющейся самым твердым веществом в организме человека) и дентином (костеподобная твердая ткань) находится так называемая пульпа (зубная мякоть). Пульпа содержит кровеносные и лимфатические сосуды, соединительную ткань и нервные волокна. Пульпа простирается от коронки зуба до кончика корня, снабжает зубы питательными веществами и выполняет важные задачи в их формировании. Если зуб полностью развился, он может продолжать жить без пульпы.
Эндодонтия = лечение корневых каналов = лечение корней зуба = инновационная биологическая защита зубов
Зубы являются приоритетом
Истоки эндодонтического лечения восходят к Древнему Риму и Греции. Тогда зубную боль лечили выжиганием пульпы горячей иглой. Современная эндодонтия была разработана в США и представляет собой инновационный и комплексный метод лечения корней зуба, цель которого - максимально сохранить естественный зуб.

Каким образом? "Можно вылечить только то, что видно"
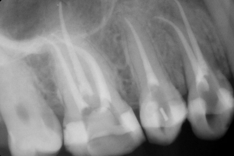
Специальные высокотехнологичные прецизионные инструменты (такие, как хирургический микроскоп и ирригатор корневых каналов с поддержкой ультразвука) и сложные методы лечения (например, электрометрическое определение длины корня зуба и автоматические стерильные одноразовые инструменты) позволяют проводить трехмерное лечение корневых каналов. Таким образом, даже самые маленькие образования внутри зуба могут быть распознаны и очищены от бактерий и остатков тканей. Все это позволяет бороться с бактериальным заражением почти так же надежно, как и удаление мертвого зуба.
В эндодонтической процедуре чрезвычайно важно, чтобы все остатки тканей, бактерии и т. д. были устранены тщательно и без следа. По этой причине эндодонтическое лечение требует значительно больше времени и материалов, чем обычное пломбирование корня.
А точнее?
Что происходит во время стандартного эндодонтического лечения и в каком порядке?
- Зуб вскрывают, чтобы удалить ткань пульпы. Зуб изолируют резиновой прокладкой (небольшой резиновой тканью из латекса), чтобы предотвратить попадание бактерий из полости рта или слюны.
- Определяется длина канала.
- Подготавливется система корневых каналов.
- Корневые каналы очищаются и дезинфицируются.
- Корневые каналы заполняются, обеспечивая непроницаемость для бактерий; обычно это достигается при помощи гуттаперчи, натурального эластичного материала. Важно, чтобы канал был плотно заполнен, чтобы предотвратить рост бактерий и, как следствие, повторное заражение.
- Зуб снова закрывают пломбой и, при необходимости, стабилизируют коронкой, защищая тем самым от возможных переломов.
Шансы на успех
Благодаря использованию прецизионных методов, количество успешных эндодонтических обработок корней зубов в наши дни значительно увеличилось и сейчас составляет более 90 процентов. Cтепень же стресса для пациента и его зубов, напротив, намного ниже - например, по сравнению с имплантатами или мостами.
Сохранение зубов ценно во всех отношениях! Получите дополнительную информацию в ходе Вашей следующей консультации со специалистами из клиники на озере Феникс.
Резекция верхушки корня зуба (апексэктомия)
Резекция верхушки корня... очередное устрашающее понятие из обихода стоматологов, которое в реальности и близко не подразумевает какой-либо неприятной процедуры, каковой является, например, вырывание зубов. Зачастую резекция - последняя надежда на сохранение зуба, и ее результаты впечатляют, ведь в 97 процентах случаев этого удается добиться.
Что происходит при лечении?
При апексэктомии отсекаются все воспаленные ткани корня зуба, в частности, срезаются верхушки воспаленных корней (примерно три нижних миллиметра) и окружающие их пораженные мягкие ткани. Процедура практически безболезненна и гораздо более безвредна, чем полное удаление зуба.
Почему воспаляются корни зубов?
К примеру, при проникновении кариеса в корень зуба, при отмирании зубов из-за повреждения челюсти или если при пломбировании корневого канала пломбировочный материал не заполняет его полностью . В таком случае, вокруг верхушки корня возникает воспаление, которое может привести к абсцессу или гнойному очагу.
Когда показана апексэктомия?
Когда воспаление корневого канала не может быть устранено обычными способами или когда лечение не является возможным. Другие показания включают в себя, например, неправильные пропорции корня, травмы зуба, наличие кист и т. д.
Есть ли здесь подвох?
Резекция верхушки корня зуба восстанавливает сам зуб, но у нее есть и недостатки: она укорачивает корень, что делает зуб менее стабильным. Таким образом, он больше не может быть использован в качестве единственной опоры для моста.
Как проходит апексэктомия?
Процедура проводится под местной анестезией, примерно в следующей последовательности:
Рассечение десны и надкостницы
Обеспечение свободного доступа к кости
Удаление кости в области верхушки корня до тех пор, пока сама верхушка корня и воспаленная ткань не станут видны
Обрезка (резекция) верхушки корня на 2-3 миллиметра для как можно более полного удаления ответвлений корневого канала в области верхушки корня
Расширение, дезинфекция и пломбирование корневого канала
Ушивание мягких тканей
Контрольный рентген
Временное закрытие коронки зуба
Окончательное пломбирование после полного заживления раны (обычно через 7-10 дней)
Рентгенологический контроль заживления кости (через 3-6 месяцев)
Что стоит соблюдать перед процедурой и после нее?
Перед процедурой следует обратить особое внимание на . Зубы следует регулярно чистить, удалять зубной камень и лечить гингивит. После апексэктомии следует продолжать хороший уход за зубами, чтобы они могли прослужить еще в течение многих лет. Неадекватный уход за полостью рта подвергает резецированный зуб риску, так как он становится гораздо более чувствительным. В случае, если у Вас нет возможности обеспечить достойный уход, лучшим вариантом будет сразу удалить зуб и прибегнуть к протезированию.
Покрывает ли медицинская страховка расходы на апексэктомию?
Да, если стоматолог заключил, что зуб стоит сохранять.